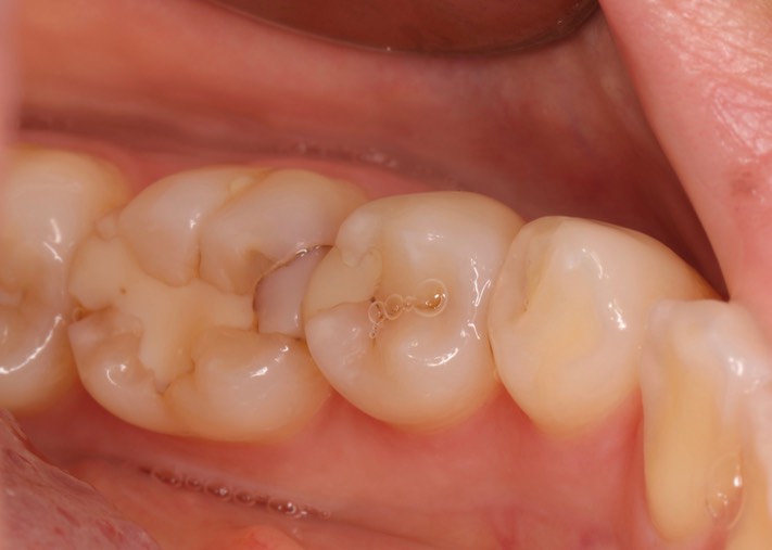
Gary Umeda #19-20 pre-op

Gary Umeda #19-20 pre-op