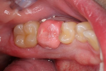
Brian Sato #19 provisional

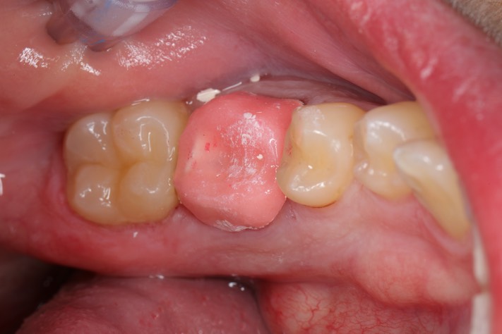
Brian Sato #19 provisional