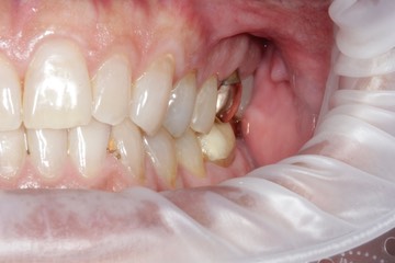
Mark Chun #13 pre-op

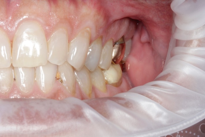
Mark Chun #13 pre-op