Tucker logo

R V Tucker Club #44

Photos of Clinical Operations

Site Navigation[Skip]

  • Home
  • Dr. May Chang’s cases
  • March 1, 2012
  • February 2, 2012
  • January 5, 2012
  • Hilo November 4 and December 3, 2011

Sidebar[Skip]

club #44 clinical operations Archive

  • March 2020
  • February 2020
  • January 2020
  • December 2019
  • February 2019
  • January 2019
  • December 2018
  • November 2018
  • October 2018
  • September 2018
  • May 2018
  • April 2018
  • March 2018
  • February 2018
  • January 2018
  • December 2017
  • November 2017
  • October 2017
  • September 2017
  • May 2017
  • March 2017
  • February 2017
  • January 2017
  • December 2016
  • November 2016
  • October 2016
  • September 2016
  • May 2016
  • April 2016
  • March 2016
  • January 2016
  • December 2015
  • November 2015
  • October 2015
  • September 2015
  • May 2015
  • April 2015
  • March 2015
  • February 2015
  • December 2014
  • November 2014
  • October 2014
  • September 2014
  • August 2014
  • June 2014
  • April 2014
  • March 2014
  • February 2014
  • January 2014
  • December 2013
  • November 2013
  • October 2013
  • September 2013
  • May 2013
  • April 2013
  • March 2013
  • January 2013
  • December 2012
  • November 2012
  • October 2012
  • September 2012
  • June 2012
  • April 2012
  • March 2012
  • February 2012
  • January 2012
  • November 2011

club #44 clinical operations

February 2, 2017

Dr. Ken Wu  -  Mentor

Wayne Chin #3 pre-op

Wayne Chin #3 pre-op

Wayne Chin #3 prep

Wayne Chin #3 prep

Wayne Chin #3 finish

Wayne Chin #3 finish

Alan Chinn #14 pre-op

Alan Chinn #14 pre-op

Alan Chinn #14 caries removal

Alan Chinn #14 caries removal

Alan Chinn #14 prep

Alan Chinn #14 prep

Alan Chinn #14 finish

Alan Chinn #14 finish

Alan Chinn #14 finish lingual

Alan Chinn #14 finish lingual

Kyle Chock #4 amalgam removal

Kyle Chock #4 amalgam removal

Kyle Chock #4 prep

Kyle Chock #4 prep

Kyle Chock #4 finish

Kyle Chock #4 finish

Mark Chun #28-29 pre-op

Mark Chun #28-29 pre-op

Mark Chun pre-op

Mark Chun pre-op

Mark Chun #28-29 prep

Mark Chun #28-29 prep

Mark Chun #28-29 prep

Mark Chun #28-29 prep

Mark Chun #28-29 impression

Mark Chun #28-29 impression

Mark Chun #28-29 model

Mark Chun #28-29 model

Mark Chun #28-29 castings

Mark Chun #28-29 castings

Mark Chun #28-29 finish

Mark Chun #28-29 finish

Mark Chun #28-29 finish

Mark Chun #28-29 finish

Matt Dodson #3-4 pre-op

Matt Dodson #3-4 pre-op

Matt Dodson #3-4 amalgam removal

Matt Dodson #3-4 amalgam removal

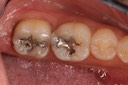
Matt Dodson#3-4 prep

Matt Dodson#3-4 prep

Matt Dodson #2-3 finish

Matt Dodson #2-3 finish

Matt Dodson #2-3 finish

Matt Dodson #2-3 finish

Larry Fujioka #3 pre-op

Larry Fujioka #3 pre-op

Larry Fujioka #3 amalgam removal

Larry Fujioka #3 amalgam removal

Larry Fujioka #3 prep

Larry Fujioka #3 prep

Larry Fujioka #3 finish

Larry Fujioka #3 finish

Frank Fukuda #3 pre-op

Frank Fukuda #3 pre-op

Frank Fukuda #3 amalgam removal

Frank Fukuda #3 amalgam removal

Frank Fukuda #3 prep

Frank Fukuda #3 prep

Frank Fukuda #3 finish

Frank Fukuda #3 finish

Frank Fukuda #3 finish

Frank Fukuda #3 finish

Scott Kanamori #2 pre-op

Scott Kanamori #2 pre-op

Scott Kanamori #2 caries removal

Scott Kanamori #2 caries removal

Scott Kanamori #2 prep

Scott Kanamori #2 prep

Scott Kanamori #2 finish

Scott Kanamori #2 finish

Scott Kanamori #2 finish

Scott Kanamori #2 finish

Ted Kanamori #3 pre-op

Ted Kanamori #3 pre-op

Ted Kanamori #3 crown removal

Ted Kanamori #3 crown removal

Ted Kanamori #3 crown removal

Ted Kanamori #3 crown removal

Ted Kanamori #3 prep

Ted Kanamori #3 prep

Ted Kanamori #3 prep - buccal

Ted Kanamori #3 prep - buccal

Wes Sato #13 pre-op

Wes Sato #13 pre-op

Wes Sato #13 amalgam removal

Wes Sato #13 amalgam removal

Wes Sato #13 prep

Wes Sato #13 prep

Gary Umeda #2-3 pre-op

Gary Umeda #2-3 pre-op

Gary Umeda #2-3 prep

Gary Umeda #2-3 prep

Gary Umeda #30-31 pre-op

Gary Umeda #30-31 pre-op

Gary Umeda #30-31 prep

Gary Umeda #30-31 prep


Feb 3, 2017 at 10:25 AM

[Back To Top]