Tucker logo

R V Tucker Club #44

Photos of Clinical Operations

Site Navigation[Skip]

  • Home
  • Dr. May Chang’s cases
  • March 1, 2012
  • February 2, 2012
  • January 5, 2012
  • Hilo November 4 and December 3, 2011

Sidebar[Skip]

club #44 clinical operations Archive

  • March 2020
  • February 2020
  • January 2020
  • December 2019
  • February 2019
  • January 2019
  • December 2018
  • November 2018
  • October 2018
  • September 2018
  • May 2018
  • April 2018
  • March 2018
  • February 2018
  • January 2018
  • December 2017
  • November 2017
  • October 2017
  • September 2017
  • May 2017
  • March 2017
  • February 2017
  • January 2017
  • December 2016
  • November 2016
  • October 2016
  • September 2016
  • May 2016
  • April 2016
  • March 2016
  • January 2016
  • December 2015
  • November 2015
  • October 2015
  • September 2015
  • May 2015
  • April 2015
  • March 2015
  • February 2015
  • December 2014
  • November 2014
  • October 2014
  • September 2014
  • August 2014
  • June 2014
  • April 2014
  • March 2014
  • February 2014
  • January 2014
  • December 2013
  • November 2013
  • October 2013
  • September 2013
  • May 2013
  • April 2013
  • March 2013
  • January 2013
  • December 2012
  • November 2012
  • October 2012
  • September 2012
  • June 2012
  • April 2012
  • March 2012
  • February 2012
  • January 2012
  • November 2011

club #44 clinical operations

March 3, 2016

Dr. Ted Ramage  -  Mentor

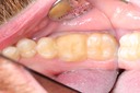
Wayne Chin #5 pre-op

Wayne Chin #5 pre-op

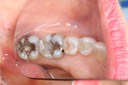
Wayne Chin #5 prep

Wayne Chin #5 prep

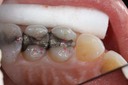
Wayne Chin #5 finish

Wayne Chin #5 finish

Alan Chinn #29 pre-op

Alan Chinn #29 pre-op

Alan Chinn #29 composite removal

Alan Chinn #29 composite removal

Alan Chinn #29 prep

Alan Chinn #29 prep

Kyle Chock #19 pre-op

Kyle Chock #19 pre-op

Kyle Chock #19 amalgam removal

Kyle Chock #19 amalgam removal

Kyle Chock #19 prep

Kyle Chock #19 prep

Mark Chun #29 pre-op

Mark Chun #29 pre-op

Mark Chun #29 amalgam removal

Mark Chun #29 amalgam removal

Mark Chun #29 prep

Mark Chun #29 prep

Matt Dodson #12 pre-op

Matt Dodson #12 pre-op

Matt Dodson #12 amalgam removal

Matt Dodson #12 amalgam removal

Matt Dodson #12 amalgam removal – Version 2

Matt Dodson #12 amalgam removal

Matt Dodson #12 prep

Matt Dodson #12 prep

Matt Dodson #12 magnified

Matt Dodson #12 magnified

Larry Fujioka #12-13 pre-op

Larry Fujioka #12-13 pre-op

Larry Fujioka #12-13 amalgam removal

Larry Fujioka #12-13 amalgam removal

Larry Fujioka #12-13 prep

Larry Fujioka #12-13 prep

Larry Fujioka #12-13 finish

Larry Fujioka #12-13 finish

Frank Fukuda #15 pre-op

Frank Fukuda #15 pre-op

Frank Fukuda #15 amalgam removal

Frank Fukuda #15 amalgam removal

Frank Fukuda #15 prep

Frank Fukuda #15 prep

Ted Kanamori #18 amalgam removal

Ted Kanamori #18 amalgam removal

Ted Kanamori #18 prep

Ted Kanamori #18 prep

Brian Sato #19 pre-op

Brian Sato #19 pre-op

Brian Sato #19 prep

Brian Sato #19 prep

Brian Sato #19 provisional

Brian Sato #19 provisional

Wes Sato #12 pre-op

Wes Sato #12 pre-op

Wes Sato #12 amalgam removal

Wes Sato #12 amalgam removal

Wes Sato #12 prep

Wes Sato #12 prep

Gary Umeda #30 pre-op

Gary Umeda #30 pre-op

Gary Umeda #30 prep

Gary Umeda #30 prep

Gary Umeda #30 buccal prep

Gary Umeda #30 buccal prep

Chris Woo #28 pre-op

Chris Woo #28 pre-op

Chris Woo #28 composite removal

Chris Woo #28 composite removal

Chris Woo #28 prep

Chris Woo #28 prep


Mar 4, 2016 at 8:45 AM

[Back To Top]